ホーム > 診療内容> 歯を一生涯残すために(PMTC)
 診療内容メニュー > 知覚過敏症治療 | 一般歯科・歯の痛みを治す歯内療法 | 歯周病治療 | 矯正歯科治療と正しい矯正医の選び方
 歯の漂白・ホワイトニング | 顎関節症治療 | 口腔外科と親知らず | 歯を一生涯残す為に(唾液テストとPMTC)
 お子様の虫歯予防(フッ素塗布とシーラント) | 歯の詰め物の材料と費用 | 口臭予防と治療 | パタカラ(口筋トレーニングによる口呼吸治療)




  1. PMTC 5,000円
    PMTCとは、P (Professional=専門家による)M (Mechanical=機械を使った) T (Teeth=歯の)C (Cleaning=清掃)の略であり、自分では磨きにくい部分 (主に歯と歯の間や歯肉の間)を専門の機械を用いて、歯科医院において重点的に清掃するテクニックです。
    痛みをともなうものでなく、とても気持ちのよいケアなので、ムリなく楽しみにいらしてください
    調和のとれた美しさと健康を感じていただくために、私たちにできるかぎりのお手伝いをさせていただきます。当院では、患者様一人一人に合った予防プログラムを作り、PMTCを行っております。
    口腔状態によりますが、治療時間は1時間〜1時間30分通院回数は1〜2回が一般的です。

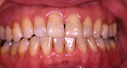
    治療前(40代女性)

    PMTC治療後
    痛みのない専門の機械

  2. プラークとバイオフィルムの違いは?
    2つとも組成は、ほぼ同じ、細菌の集合体です。
    • プラーク=歯の表面で浮遊している細菌物質
    • です。
    • 細菌バイオフィルム=細菌が分泌する糖質の膜(バイオフィルム)におおわれ、歯の表面に固着している細菌の塊です。

当院へのお問い合わせ・ご予約
戸越銀座デンタルケア−クリニック
歯ぶらしセンター併設

〒142-0051 東京都品川区平塚3−1−12 アールグレイ1階(戸越銀座商店街)
TEL. 03−6908−1188 [詳細マップ]

診 療 内 容
一般歯科
審美補綴
予防歯科
インプラント
ホワイトニング

スタッフ構成
ドクター:2名
歯科衛生士:1名
受付:1名

診 療 時 間
午 前
9:30〜13:00
9:30〜13:00
9:30〜13:00 休診 9:30〜13:00
9:30〜13:00
休診
午 後
14:30〜19::30
14:30〜19::30
14:30〜19::30
14:30〜19::30 14:30〜17::30
※当医院は予約制となっております。初診・急患は随時受け付けておりますが、予めご予約のお電話を頂ければ幸いです。


戸越銀座デンタルケア−クリニック
歯ぶらしセンター併設

〒142-0051 東京都品川区平塚3−1−12 アールグレイ1階(戸越銀座商店街)
TEL. 03−6908−1188 駐車場なし [詳細マップ]

さいたま歯科口腔外科クリニック
〒338-0837 埼玉県さいたま市桜区田島5-6-1
TEL. 048-866-1488 駐車場あり [Googleマップ]

銀座デンタルケアークリニック
〒104-0061 東京都中央区銀座4−3−11 松崎ビル6F(松崎煎餅のビルです)
TEL. 03(3563)1188 FAX. 03(3561)1181 [詳細マップ]

横浜ビジネスパーク歯科クリニック
〒240-0005 神奈川県横浜市保土ヶ谷区神戸町134 レストランコート プレッツオ5F
TEL. 045(334)1188 FAX. 045(332)1919 無料駐車場200台あり [詳細マップ]

いとう歯科クリニック
〒229-1103 神奈川県相模原市橋本 6-1-24 味の食彩館はしもと3F
TEL. 042(771)8241 FAX. 042(771)8243 駐車場あり [詳細マップ]

きしの歯科口腔外科クリニック
東京都国立市東1-16-8(国立駅南口徒歩4分)
TEL. 042-577-1971 駐車場あり [詳細マップ]

     
2005年6月28日(火)[歯科相談]-1歳半の子です。上前歯にC3の虫歯があります。1歳半の子供に麻酔というのはかなり抵抗を感じていますが、これ以上の虫歯の進行を考えるとやらざるをえないのでしょうか?
2005年5月24日(火)[歯科相談]-健康な部分は歯を削らず、もちろん神経も抜かずに白色の奥歯の詰め物が出来ればぜひ、お願いしたいのです。また、神経の死んだ歯も白くできますか?
2005年3月1日(火)[歯科相談]-8年程仕事の都合で歯科に通院出来ませんでした。自分でも感じるくらい歯はぼろぼろです。何とかしたいのですが、ここまでくると何処へ行っても相手をしてもらえない様な気がして・・・
2005年1月20日(木)[歯科相談]-治療をしては、途中で挫折の繰り返しです・・・。完治するまで通わない子でした。歯医者に行きたいのですが、ほっといたことを怒られる怖さのが強く、今まで行けませんでしたが、このようなコンプレックスを全て消し去りたいのです。こんな状態ですが治療していただけるのでしょうか?
2005年1月15日(土)[歯科相談]-知覚過敏と診断されました。歯のくいしばり過ぎ、就寝時の歯軋り、歯ブラシの仕方が強すぎと言われました。薬を塗布するだけで知覚過敏は治るのでしょうか?
2005年1月6日(木)[歯科相談]-6歳の子どもの事で相談します。虫歯治療している歯の隣の歯茎が腫れてしまいました。子どもは痛がってはおりませんが、この腫れは治療している歯の影響でしょうか?
2004年11月30日(火)[歯科相談]-もう15年近く歯医者にいっていません。虫歯が大量で、自覚もあります。無痛、笑気ガス等、痛みの無い治療を探しています。
2004年9月2日(木)[歯科相談]-2歳半になる娘が市の歯科検診でフッ素塗布をしていただきましたが、小さなプツプツが舌全体に数個できていました。
2004年5月7日(金)[歯科相談]-4歳の子供が幼稚園の歯科検診で奥歯1本が虫歯と診断されました。スポットライトなし、ミラー付棒での診察です。しかし、3日前にかかりつけの小児歯科で定期健診を終えたばかりで虫歯はなしという診断でした。どちらの医師を信じれば良いのでしょうか?

Copyright (C) 2005-2008 医療法人社団 純厚会. All Rights Reserved.
サイトマップ リンク集 お悩み相談 インプラント 診療内容 医院紹介 ホーム ブライダルデンタルエステ 横浜ビジネスパーク歯科クリニック 銀座デンタルケアークリニック 三愛病院歯科・口腔外科